红网时刻新闻3月5日讯(通讯员 张华)近日,永州市中医医院脑病科在脑血管病微创介入诊疗领域取得重大突破,在科室主任文绍鹤带领下,介入团队连续成功完成4例蛛网膜下腔出血颅内动脉瘤栓塞术及2例急性脑梗死经皮颅内动脉取栓术,标志着该院脑血管疾病微创介入诊疗水平迈上新台阶,为永州及周边脑血管病患者提供了更高效、安全的诊疗保障。
颅内动脉瘤被称为颅内“不定时炸弹”,破裂后致死率、致残率极高。此次手术中,最具突破性的是成功完成1例极为罕见的“血泡样动脉瘤”栓塞术——该类型动脉瘤基底宽、壁薄如纸、极易破裂,位于血管关键部位,被公认为神经介入领域“最难啃的骨头”,手术难度堪比“在气球上绣花”。

血泡样动脉瘤栓塞前后对比。
面对高风险挑战,脑病科介入团队沉着应对,术前反复推演手术路径、制定个体化“支架辅助弹簧圈栓塞”方案;术中精准操控微导管,在瘤体内精细填塞弹簧圈并植入支架重塑载瘤动脉。术后造影显示,动脉瘤完全闭塞、载瘤动脉血流通畅,患者术后恢复良好,已脱离生命危险。其余3例常规动脉瘤患者,均通过微创股动脉穿刺完成栓塞,无需开颅、创伤极小,大幅缩短住院周期。

常规动脉瘤栓塞前后对比。

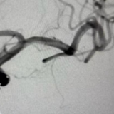
血管取栓前后对比。
在急性脑梗死诊疗方面,团队争分夺秒开启卒中绿色通道,为2例急性脑梗死患者实施急诊经皮颅内动脉取栓术,运用先进设备成功取出栓子、恢复血管通畅,患者偏瘫肢体肌力显著恢复,最大限度挽救了脑功能。
作为省级中医重点专科,永州市中医医院脑病科坚持“中西并重、微创优先”理念,依托先进DSA设备常规开展脑血管介入诊疗,此次成功攻克“血泡样动脉瘤”技术难关,彰显了科室处理急危重症脑血管病的综合实力。科室特色鲜明,在精准完成介入手术的基础上,充分发挥中医药康复优势,通过辨证施治、针灸、康复理疗等中医特色手段,为术后患者提供个性化康复方案,加速患者恢复、减少后遗症,形成“介入治疗+中医康复”一体化诊疗模式。今后,科室将持续精进技术,深化中西医融合,为患者提供从急救到康复的全流程服务,真正实现大病不出市,造福一方百姓。
来源:红网
作者:张华
编辑:王杨
本站原创文章,转载请附上原文链接。
