什么是踇外翻(HAV)?
踇外翻俗称“大脚骨”,是一种常见的足趾畸形,是指大脚趾在第一跖趾关节处发生向外侧偏斜移位的现象,表现为该脚趾相对于其他脚趾明显向外翻转;较严重的情况下,踇趾会与第二趾上下重叠,即位于第二趾的上面或下面。此症状多见于中老年妇女群体,并具有一定的遗传倾向。此外,长时间穿着不合适的鞋子也可能导致踇外翻的发生。


踇外翻的危害
踇外翻对身体的危害不容小视,早期踇外翻会造成走路易疲劳、轻微的疼痛。随着患者的年龄增长,常会出现足部肌肉和肌腱逐渐老化的现象。如果长期不治疗,随着畸形加重,患者还可能出现跖趾关节发炎,甚至因双足踩地时受力不均导致膝、髋、脊柱等力线改变,引起髋、膝关节退变,骨盆倾斜,腰部疼痛不适等一系列疾病。
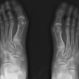
通常情况下,患有拇外翻的个体能够直接观察到踇趾的外翻畸形,从而实现初步诊断。然而,标准的X线检查对于评估拇外翻畸形程度具有更为显著的优势。
踇外翻的四期发展阶段
第一阶段:较轻微,大踇指外翻10度左右,主要表现为踇趾内侧轻微隆起。
第二阶段:中度,大踇指外翻10-20度左右,主要表现为第一跖骨头内收,踇指外展对第二跖骨造成压力,第一趾跖关节内侧及踇指内侧会形成胼胝,加剧外展。此外,软组织(如踇长伸肌)会收紧,将拇指向外侧(即第二跖骨)的方向牵拉,加剧踇趾外展。
第三阶段:较严重,大踇指外翻20-40度左右,脚趾有重叠现象,横弓塌陷,出现鸡眼、扁平足、后跟疼痛、双足受力不均等症状,严重影响站立和行走能力。
第四阶段:重度,因第一、第二阶段未对HAV进行矫形治疗,踇外翻进一步发展,进入第四阶段。主要表现为踇趾和第二跖骨上重叠或下重叠,即踇趾高于或低于第二跖骨。脚趾不受力,足弓塌陷,难以行走,双下肢生物力线改变,引起膝关节炎和腰酸背痛,且治疗也是非常困难,患者也极其痛苦,通常很难找到可容纳踇趾歪斜的鞋子。
注:HV表示踇趾外翻角度,IMA表示第一趾骨和第二趾骨的角度。

踇外翻的治疗方法
对于踇外翻角度在15°以内的患者,可通过专业的康复训练来恢复正常。若踇外翻角度超过15°,则一般可通过相应治疗缓解疼痛症状,但缺乏长期明确的矫形效果。若踇外翻症状已严重影响患者生活质量,则需考虑手术治疗。
具体治疗方法需根据个人情况而定,主要包括:
一、选择合适的鞋子,确保鞋头宽松、柔软且平底,以减少对踇趾的压迫,避免加重疼痛和畸形。
二、使用矫形器具,对于轻度拇外翻畸形的患者,可在踇趾远端套用趾垫,使踇趾内收并防止鞋子挤压第一跖骨头。
三、针对已形成踇囊炎的患者,可局部使用消炎止痛药物以消肿止痛。
四、进行功能锻炼,通过套住双侧大踇趾向内牵拉的方式进行锻炼。
五、对于踇外翻症状严重的患者,可能需要考虑手术治疗。
来源:红网
作者:永州市中心医院
编辑:王杨
本站原创文章,转载请附上原文链接。
